专注口腔健康已有30余年
成为深受信赖的口腔品牌

呵护口腔健康/关注点滴生活/贴心售后服务
专注口腔健康已有30余年
成为深受信赖的口腔品牌

呵护口腔健康/关注点滴生活/贴心售后服务
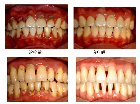
牙周炎的症状,主要表现为牙龈红肿、出血,不仅在刷牙时出血,有时在说话或咬硬物时也要出血,牙龈颜色暗红,由于水肿显得比较光亮。此外,还有牙周袋形成,在正常情况下,牙龈附着在牙齿上的龈沟仅深零至两毫米,超过两毫米则为牙周袋。牙周袋的形成说明炎症已从牙龈发展到牙周支持组织,使较深层的牙周组织感染,慢性破坏,脓性分泌物可以从牙周袋溢出。早期的牙周炎牙齿不松动,只有在慢性破坏性炎症发展到**的程度,牙周组织支持力量大为减弱时,才可以导致牙齿松动。牙龈退缩也是牙周炎的症状之一,但患者常不易察觉。局部因素引起的牙周炎,由于长时间受大量牙石的压迫,刺激牙龈,所以,龈缘外形出现水平式的退缩。至于老年性的牙周组织退缩,一般属于生理情况。一方面是因为牙周组织本身的退缩;另一方面是由于牙齿的磨耗而使牙齿继续萌出,形成牙根面暴露。由于牙根面的暴露,对冷、热、甜、酸食物或机械性刺激,都有敏感的表现。但也有的是生理和病理的因素同时存在。

部分图文转载自网络,版权归原作者所有,如有侵权请联系我们删除。如内容中如涉及加盟,投资请注意风险,并谨慎决策