专注口腔健康已有30余年

成为深受信赖的口腔品牌

在线咨询

专注口腔健康已有30余年

成为深受信赖的口腔品牌

呵护口腔健康/关注点滴生活/贴心售后服务

您的位置:首页综合项目**牙

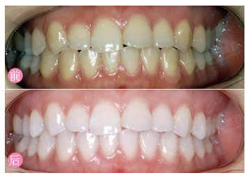
**牙

2023-06-09

牙齿**的方法主要有冷光**牙、激光**牙、**牙贴。

**牙齿的适宜人群:

1.轻中度的四环素牙、氟斑牙,或者其它因素引起的变色牙,遗传性黄黑齿,一般通过一次冷光**牙治疗即可获得满意的效果。   

2.重度的四环素牙、氟斑牙,或者其它因素引起的变色牙、黄牙,一般需要通过两次以上的冷光**牙治疗(间隔一周不超过两周),即可取得满意的**效果。  

 3.伴有釉质发育不良的重度的四环素牙、氟斑牙、或者其它因素引起的变色牙,需要在医生的诊断下,多次进行冷光**牙的治疗,方可获得改观。此类患者也可以采用烤瓷牙的方式进行修复。  

专家提醒,有些情况不适合做冷光**牙的:如16岁以下人士、孕妇不适合冷光**牙齿。另外,牙周病患者要进行治疗后才能进行冷光**牙。

 

 

部分图文转载自网络,版权归原作者所有,如有侵权请联系我们删除。如内容中如涉及加盟,投资请注意风险,并谨慎决策

上一篇
下一篇

在线预约,快速解答

预约挂号、建议投诉,均可留言,我们将尽快与您取得联系,谢谢合作!

立即提交

在线预约,快速解答

预约挂号、建议投诉,均可留言,我们将尽快与您取得联系,谢谢合作!