专注口腔健康已有30余年
成为深受信赖的口腔品牌

呵护口腔健康/关注点滴生活/贴心售后服务
专注口腔健康已有30余年
成为深受信赖的口腔品牌

呵护口腔健康/关注点滴生活/贴心售后服务

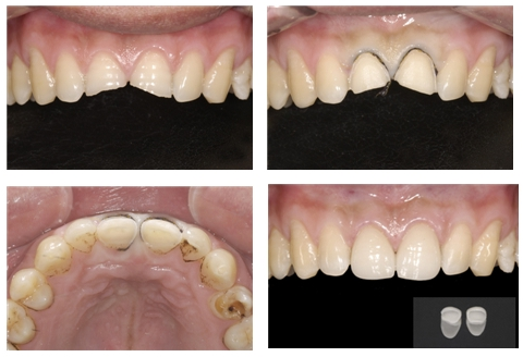
瓷贴面的优点与适应人群
瓷贴面是目前比较流行的牙齿美容方式。但也不是说牙齿贴面**适合所有类型的牙齿,其适应人群包括:
一、形态异常牙、牙釉质发育不良、过小牙等
二、中、重度四环素牙、氟斑牙等。
三、龋蚀致切端缺损或牙体表面浅在性大范围龋蚀。
四、牙缝稀疏或牙齿轻度歪扭,不想做矫正但咬合正常的牙齿。
五、药物性变色牙。
六、遗传性黄牙。
七、牙齿有裂纹、残缺、坑洞的严重个例。
做牙齿贴面的患者要谨慎些,根据个人的情况“对症下药”,到正规的医院治疗,以保证修复的良好效果。
瓷贴面的优点:
1、安全 磨除牙体组织少
2、美观 仿真效果好
3、健康 对牙龈刺激小
4、舒适 无口腔异物感
部分图文转载自网络,版权归原作者所有,如有侵权请联系我们删除。如内容中如涉及加盟,投资请注意风险,并谨慎决策