成为深受信赖的口腔品牌
专注口腔健康已有30余年
呵护口腔健康/关注点滴生活/贴心售后服务
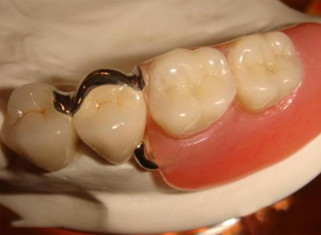
活动义齿是利用剩余天然牙或粘膜作为支持,通过卡环固定在剩余天然牙上,同时,利用基托使义齿保持适当的位置行使咀嚼功能,可以自行摘戴的一种修复体,缺失单个牙,多个牙,或全口牙都可采用。
适用范围:
活动义齿的适应范围较广,能修复牙列和牙槽嵴任何部位的缺损,缺牙数目可以从缺失一个牙到多个甚至全口活动义齿牙缺失。
部分图文转载自网络,版权归原作者所有,如有侵权请联系我们删除。如内容中如涉及加盟,投资请注意风险,并谨慎决策
预约挂号、建议投诉,均可留言,我们将尽快与您取得联系,谢谢合作!
在线咨询
健康热线
在线留言
微信扫一扫
返回顶部